根に穴が開いて抜歯を宣告された歯を残しました。
投稿日:2024年11月6日
カテゴリ:根管治療
他院で歯の根っこに穴が開いているので抜歯を宣告された方が当院に来院されました。
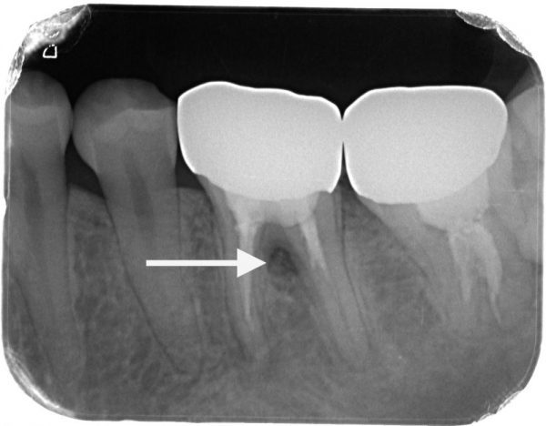
診査するためにレントゲンを撮りました。
この矢印の部分が黒くなっているのがわかると思います。
ここが黒くなる理由は、歯に穴が空いているか、ヒビが入っているか、歯周病が一般的には考えられます。
当院では、根管治療をする前にさまざまな診査を行いますが、診査をした結果、根尖性歯周炎とパーフォレーション(歯の内部の穴)と判断しました。
根尖性歯周炎は根の先に炎症がある状態です。この歯は、根の先に炎症があり、歯の内部に材料がしっかり入っていません。
つまり、他院で根の治療を行いましたが、根の治療が失敗し、さらに根に穴を開けてしまったということです。根尖性歯周炎は細菌によって引き起こされます。細菌の除去を行うことで治癒へ導きます。
細菌の除去は、歯を残しながら内部を綺麗にする根管治療と歯ごと汚れをとる抜歯があります。
ただ根管治療はとても難しく、保険の根管治療の成功率は30〜50%と言われています。
確かに根の先の炎症もあり、歯に穴が開いている状態であれば抜歯を宣告する先生が多いと思います。
当院は、自費の根管治療を行っています。自費の根の治療は、マイクロスコープ、ラバーダム、丹ッケルチタンファイル、MTAセメント、CT、超音波チップなどさまざまな最新の機器、道具が使用できます。そして、治療時間の制約もないので、一回の時間を長くとる根管治療が可能です。そのために、自費の根管治療の成功率は90〜95%ほどと言われています。
治療後の写真です。
MTAセメントを使用し、穴を封鎖し、根の内部をマイクロスコープで確認し綺麗にしたところ、黒い影が消えました。
最初来院した時は、痛みがあり、歯茎も腫れもありましたが、治療後数年立ちますが、痛み歯茎の腫れは治療後からなくなっています。
根管治療は、とても難しい治療です。
ただ、患者さんがまだその事実を知らずに、安易に保険診療で神経を抜いたり、再度根管治療をして数年後抜歯になってしまうことがとても多いです。
まずは、根管治療について知っておくことが歯を守る第一歩だと私は思っています。
根管治療でお悩みの方、知りたい方で調布市の歯科医院をお探しの方は柳沢歯科医院にご連絡ください。
■ 他の記事を読む■



