左下7 複雑な根管形態を持つ歯の再根管治療
投稿日:2017年7月11日
カテゴリ:根管治療
樋状根と呼ばれる複雑な根管形態
樋状根とは、英語では「C-Shape」と呼ばれているその名の通り、アルファベットの「C」の形をした根管のことです。この特徴を持っている歯の根管治療は、複雑で難易度も高くなります。
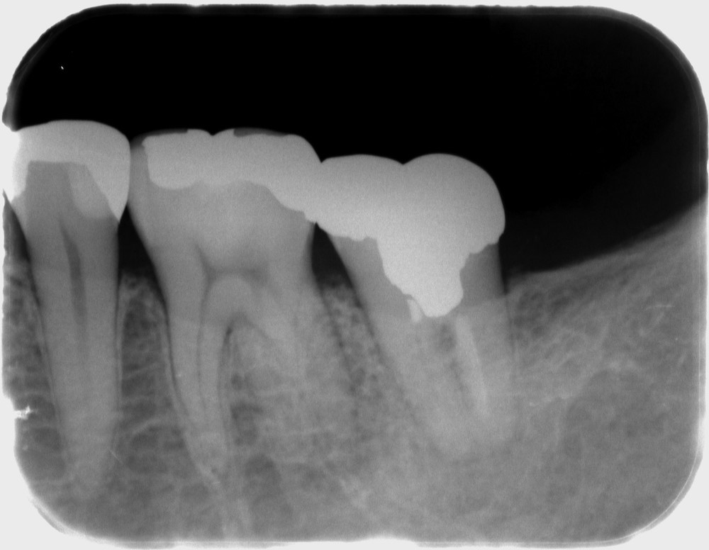
左下7 樋状根の再根管治療
患者さんは、夜も眠れないほどの痛みで来院されました。

痛みの原因は、このクラウンの装着されている左下7のようです。

レントゲン写真を撮影し、診査したところ、左下7の根尖性歯周炎と診断し、再根管治療を行いました。

クラウンを外すとメタルコアが装着されており、これを外すと

虫歯になっていました。

これを取り除き、歯をきれいにして、隔壁を作り、ラバーダムをして無菌的な環境を作り出し、根管内にアプローチしました。


ニッケルチタンファイルや超音波チップを使って、内部にあるガッタパーチャなどの異物を取り除きます。

すると、根の先から、膿と血が出てきました。

さらに内部の汚れと異物を取り除き、

先端の方の汚れも取り除き、

きれいになっています。根管の形がアルファベットの「C」になっている樋状根であることが良くわかります。
ここまでの処置のを動画でご覧ください。

このあと、根の長さをレントゲン写真を用いて測定し、

根管充填を行います。
それと同日にコンポジットレジンにて支台築造を行います。

術後のレントゲン写真です。写真状のみの判断ではありますが、問題なく治療が完了しています。

術後2年後のレントゲン写真です。痛みも全くなく、写真状でも全く問題ありません。現段階では、この根管治療は成功していると判断できると思います。
まとめ
一般的に樋状根の根管治療は難しいとされており、再根管治療となると、その難易度は格段に上がります。しかし、マイクロスコープを用いて根管治療を行うと、逆に樋状根の症例は簡単である、という印象を持っています。
無菌的な環境下で行われる正しい根管治療に、マイクロスコープの力が加わることにより、一般的には抜歯と診断されてもおかしくないような症例でも、確実に治療することができます。
今回治療した、この樋状根という複雑な形態を持つ歯が、長く健康な状態を保ちながら機能することを心から願っています。
柳沢歯科医院
■ 他の記事を読む■



