奥歯が壊れてしまう歯並び
投稿日:2019年7月31日
カテゴリ:未分類
前歯が奥歯を守っている
正常な歯並びの人は、歯ぎしりする際に、上の前歯や犬歯に下の前歯がすれて、ガイドされます。その際に、奥歯は開きます。これが「正常に機能している歯並び」です。奥歯は横に揺さぶられる力がかかると、壊れやすいので、前歯が正常に機能している人の奥歯は壊れにくいのです。

このような人の奥歯は壊れにくいのです。
歯並びが悪い人は奥歯が壊れやすい
逆に、「前歯が咬んでいない」「アントニオ猪木のように反対の咬み合わせ」ですと、前歯がうまく機能しないので、歯が壊れてやすくなってしまいます。

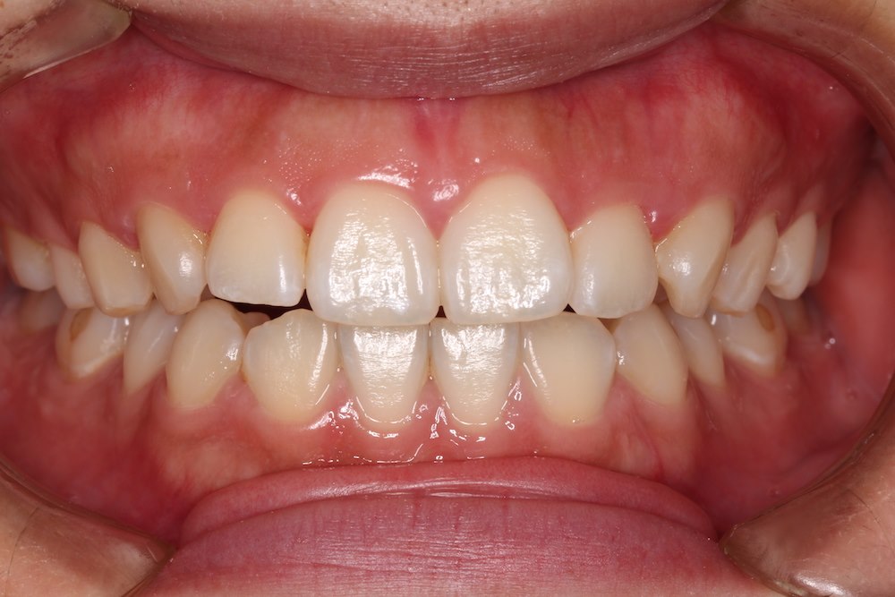
ある患者さんです。一見見た目はいいですよね?しかし、下から覗いてみると・・・

前歯がまったく咬んでいません。この人がこの咬み合わせで、歯ぎしりしすることを想像してみてください。奥歯に歯ぎしりの力が全てかかり、ダメージが起きやすいことが、簡単に想像できると思います。このような人の奥歯の神経の治療をして、心棒を挿入し、被せたときに、その歯に負担がかかり壊れてしまうことは、容易に想像できますよね。
まとめ
後輩歯科医師にあることを聞きました。勉強会をしても、あまり咬み合わせのことを気にせず、むし歯になった歯の治療のみを行っている歯医者が多いとのことでした。それは、困りますね。歯は、むし歯歯周病の細菌感染と、咬む力で壊れていきます。矯正治療を見た目の治療、と思われている方も多いかと思いますが、そうではありません。機能して初めて良い咬み合わせです。
このようなコンセプトで治療をしている調布市の歯科医院をお探しの方は、ぜひご相談ください。
柳沢歯科医院
■ 他の記事を読む■



