右上5 S字状根を持つ歯の再根管治療
投稿日:2017年7月9日
カテゴリ:根管治療
S字状根管とは?
その名の通り、S字状にクネクネと曲がっている根管のことです。ただでさえ、曲がっている根管の根管治療は難易度が高いのにも関わらず、S字状の根管の根管治療は非常に難易度が高いのです。
S字状根管を持つ右上5の再根管治療
今回治療した右上5に装着されていたクラウンの適合性が悪いため、クラウンをやり変えることになりました。
術前に装着されていたクラウンです。

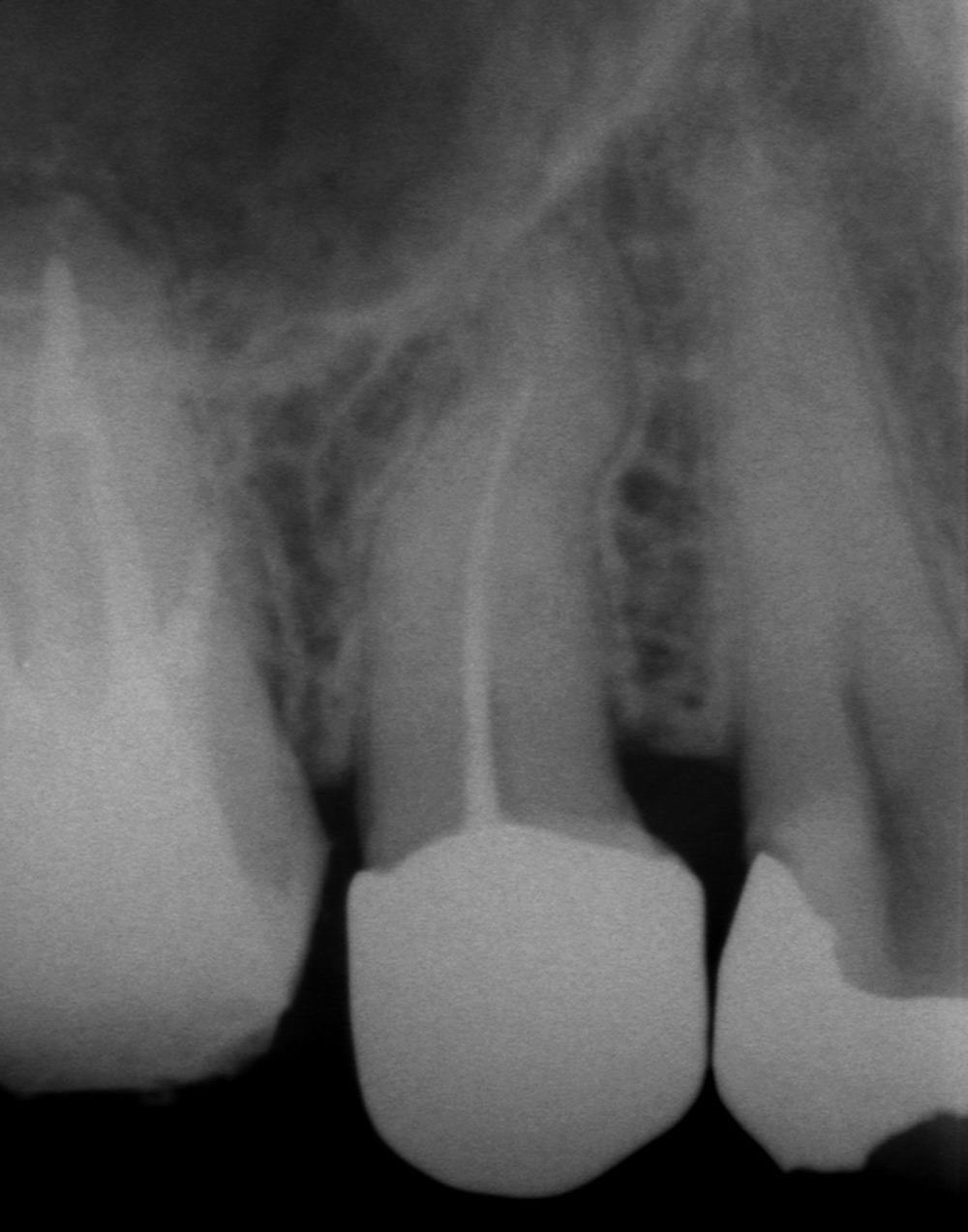
術前のレントゲン写真です。根管治療の質も悪いため、根管治療もやり直すことにわりました。

クラウンをはずすと、歯茎にセメントがついています。そのため、歯茎に炎症があります。

オレンジ色のセメントを取り除くと、内部に虫歯が・・・

それを、マイクロスコープを用いて取り除きました。
その後、隔壁を作り、ラバーダムをして無菌的な環境下を作り、根管内へとアプローチをしました。

以前につまっていたガッタパーチャポイントを取り除きます。

そのあと、入り口を超音波チップで拡大します。

根管内をきれいにしていると、内部から、なんとも言えない鼻から出てくるような汚れが出てきました。

さらに、根の先の方を観察すると、2根管あり、その2本がさらに先で合流していることがわかりました。そのさらに先がS字状に曲がっていました。
実際の動画を提示致しますので、ご覧ください。
根管の形態がわかったら、今度は根の長さを測り、その長さが正しいか、レントゲン写真で確認します。

根の長さを測定したあと、根管拡大し、十分な根管内洗浄、そして、根管充填を行います。

根管充填と同日にファイバーポストを用いた支台築造も行いました。

術直後のレントゲン写真です。レントゲン写真上では、問題なく根管充填できています。

術後3年後のレントゲン写真です。3年経っても、問題はまったく起こっていません。今後、なにかのトラブルが起こる可能性はありますが、今の段階では成功している、と言っても良いと思います。
まとめ
今回のような、複雑な根管形態の症例は、難易度が高まります。しかし、ひとつひとつの工程を確実にこなせば、難しい症例でも、自然と良い結果になります。このようなことを感じさせられた症例でした。
この歯が、健康な状態で長持ちしてほしいと、心から思います。
柳沢歯科医院
■ 他の記事を読む■



